L'osteoartrite dell'articolazione del ginocchio (rosa gonar) è una malattia degenerativa in cui la cartilagine è più sottile. Secondo le statistiche, ogni quinto residente del pianeta soffre di questa patologia. Questo articolo terrà conto delle principali cause dell'osteoartrite, dei suoi sintomi in ogni fase e dei metodi di diagnosi e trattamento.
Cause
Ogni giorno, le articolazioni del ginocchio sperimentano un grande carico mentre si camminano. Dopotutto, devono resistere alla massa di tutto il corpo. Di conseguenza, c'è un'usura graduale del tessuto della cartilagine, che è la causa dei cambiamenti patologici nelle ginocchia.
Il gruppo di rischio comprende le persone:
- Persone anziane,
- soffrire di sovrappeso,
- Avere osteoporosi e disturbi metabolici,
- Ho mai ricevuto un infortunio al ginocchio,
- rappresentava alcune professioni,
- Soffrendo di microelementi, carenza,
- impegnato con sport pesanti.

Nella maggior parte delle persone di 40 anni, la presenza di osteoartrite può essere trovata nella seconda o successiva fase di sviluppo.
I sintomi principali
Naturalmente, i cambiamenti nel tessuto della cartilagine non possono avvenire senza sintomi. Una persona può lamentarsi con una malattia:
- Una sensazione di disagio nelle ginocchia dopo essere stato svegliato in una posizione seduta o a lungo termine
- Dolore alle gambe dopo una lunga posizione,
- Una sensazione ardente mentre si arrampica sulla montagna e su per le scale,
- Debolezza nelle gambe dopo un carico leggero e alla fine della giornata.
- Alcuni pazienti sono anche preoccupati di notte.
Importante! La malattia non si verifica bruscamente, si sviluppa nel corso degli anni. Il dolore nelle prime fasi può essere insignificante, ma è sempre importante nel tempo.
Artrosi dell'articolazione del ginocchio 1 grado
La gonartrosi è attualmente in fase di sviluppo in questa fase, quindi il processo per una persona è quasi asintomatico. Tuttavia, alcuni segni possono ancora essere visti.
Una persona sente spesso affaticamento alle gambe, nota una leggera diminuzione della mobilità di una o due articolazioni del ginocchio. Questo fenomeno è particolarmente caratteristico al mattino, nei primi minuti dopo il risveglio.
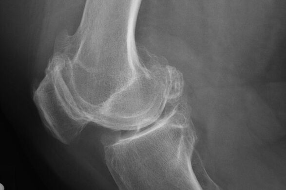
Di norma, la diagnosi della malattia si verifica in questa fase per caso durante una X -Dispute. Il medico può notare alcune irregolarità sulla cartilagine su questo. È anche possibile restringere il lume tra le parti della connessione.
Artrosi dell'articolazione del ginocchio 2 gradi
La patologia dell'articolazione del ginocchio sembra essere più pronunciata. L'aspetto della sindrome del dolore è caratteristica, che è provocato da un carico aggiuntivo dell'articolazione.
RIFERIMENTO. In questa fase, il dolore è indipendente dopo una lunga pausa.
Inoltre, sintomi come:
- Cristallo con determinati movimenti. Può essere osservato in entrambe le ginocchia. Lo scricchiolio non può essere evidente, ma gradualmente acquisisce un carattere ruvido, forte e molto diverso.
- Riduzione della capacità di piegare completamente la gamba nel ginocchio. Alcune persone possono farlo solo con un angolo di 90 gradi, quindi si verifica una sensazione spiacevole e sono costrette a fermarsi.
- Alcuni pazienti con rosa gonar del secondo stadio si lamentano del verificarsi di un dolore acuto che si verifica quando l'articolazione del ginocchio è piegata.
- È possibile cambiare la forma dell'articolazione del ginocchio, diventa più ampia e si gonfia. Ciò è dovuto all'accumulo di liquido patologico.

Se i sintomi sono determinati nell'area del ginocchio, è necessario consultare un medico in modo da prescrivere il trattamento corretto.
Artrosi dell'articolazione del ginocchio a 3 gradi
- In questa fase, si osservano cambiamenti di cartilagine strutturale molto forti nell'articolazione. La crescita, che ha grandi dimensioni, appare su di essa.
- È stata determinata la curvatura della gamba interessata. Riceve una curva a forma di 0 o a forma di X che diventa un grave ostacolo per la durata della vita del paziente. Di conseguenza, una persona può diventare una persona disabile.
- Un fenomeno caratteristico del terzo stadio della malattia è un dolore serio che può essere costantemente osservato e intensifica dopo qualsiasi stress, anche un lieve stress.
- Una persona nota la sensibilità dell'articolazione rispetto ai cambiamenti del tempo. Ora che il ciclone si avvicina, il ginocchio in cui il ginocchio si fa male.

Con l'età, le articolazioni reagiscono ai cambiamenti meteorologici e di pressione.
Artrosi dell'articolazione del ginocchio 4 gradi
È una fase finale estrema della malattia in cui è completamente mancante il divario tra le ossa.
RIFERIMENTO. La maggior parte dei chirurghi ortopedici attribuiscono il quarto livello al terzo. Ciò è dovuto alla somiglianza dei sintomi e alla complessità della diagnosi tempestiva.
Poiché si osserva la mancanza di un divario, il movimento dell'articolazione è semplicemente impossibile.
Inoltre, il paziente è torturato da un dolore insopportabile e costante, che è alleviato solo da gravi antidolorifici. Ma dopo un momento in cui l'effetto di una compressa o un'iniezione si interrompe, c'è un altro sintomo spiacevole.
Diagnosi
Un esame del paziente inizia con la sua richiesta di aiuto da parte di uno specialista. Puoi essere un terapista o ortopedista.
Il medico ascolta i sintomi, raccoglie un anamnesi e esegue un esame. Prima di tutto, sarà interessato a cambiamenti esterni nell'articolazione, la restrizione della mobilità nella sua area.

X -RAY aiuta a identificare le deviazioni nella cartilagine.
Durante il test, il paziente si lamenta dell'aspetto di sensazioni spiacevoli e si sente uno scricchiolio con una lucentezza di casta del ginocchio.
Importante! Una diagnosi non è possibile dopo un esame visivo del medico, anche con tutti i segni della malattia. Solo un esame completo consente di dare una risposta precisa alla patologia che scorre nel ginocchio.
Dopo l'esame, il medico prescrive la radiografia del paziente. Questo è il metodo principale per diagnosticare l'artrosi dell'articolazione del ginocchio di qualsiasi grado.
X -Ray dà al medico un'idea dei cambiamenti nella cartilagine dell'articolazione. In alcuni casi, tuttavia, la fase iniziale non può essere definita nell'immagine.
Se necessario, il medico può prescrivere un passaggio ripetuto di una radiografia o di una risonanza aritmetica e magnetica.
Trattamento
Il trattamento immediato dovrebbe iniziare durante la diagnosi della gonartrosi. Ciò contribuirà a fermare l'avanzamento della patologia e prevenire molte complicazioni.
La terapia della malattia persegue diversi obiettivi allo stesso tempo. Vale a dire:
- Eliminazione della sindrome del dolore,
- Accettazione della gravità di altri sintomi,
- Il massimo ripristino possibile della cartilagine interessata e dei legamenti dell'articolazione,
- Un aumento della mobilità dell'arto.
Il trattamento della malattia include metodi come:
- Terapia farmaceutica,
- Massaggio, osteopatia, terapia manuale,
- Intervento chirurgico,
- Educazione fisica medica e preventiva,
- Fisioterapia.
Cura della droga
RIFERIMENTO. La terapia della medicina è il metodo principale per il trattamento della malattia. Tuttavia, ha più successo in combinazione con altri metodi.
I medicinali per il trattamento della gonartrosi includono:
- Farmaci anti -infiammatori non sterici- Alleviare il paziente di dolore, alleviare l'infiammazione. Questi farmaci sono ingredienti attivi sintomatici senza influenzare la causa della malattia. Combattono solo con le sue manifestazioni e portano temporaneamente sollievo.
- Condroprotectors - Ripristina la cartilagine. Tuttavia, l'effetto non è immediatamente evidente. I farmaci hanno proprietà cumulative (accumulative), quindi il corpo ha bisogno di tempo per il loro pieno effetto.
- Farmaci ormonali. Di solito sono prescritti con malattie avanzate. Questi fondi possono alleviare rapidamente il gonfiore e l'infiammazione del tessuto attorno all'articolazione. Lo svantaggio di questa classe di droga è l'effetto sistemico sul corpo, in cui sono possibili molti effetti collaterali indesiderati. Sono prescritti solo in programmi di tempo durante un rafforzamento del processo.
- Farmaci esterni, sviluppato per alleviare il dolore. Pubblicato sotto forma di unguento, crema.
- Acido ialuronico. È una nuova soluzione nel trattamento della rosa gonar. È un'introduzione intra -karticolare di un mezzo che alimenta l'articolazione. Ha un'efficienza abbastanza elevata. Tuttavia, il metodo è caratterizzato da difetti come: la possibilità di utilizzo solo nelle prime fasi della malattia e gli alti costi del farmaco.
Importante! L'introduzione di prodotti medicinali nel divario comune non è più consentita in 7-10 giorni.
massaggio
Il massaggio e il trattamento manuale e osteopatico si basano su:
- Carica del dolore,
- Superando la rigidità dei movimenti nelle ginocchia,
- Migliorare l'afflusso di sangue nella posizione della cartilagine,
- Nutrienti e ossigeno nell'area dell'infiammazione.
RIFERIMENTO. Massaggio e procedure simili dovrebbero essere eseguite solo da una persona che ha una formazione speciale. Altrimenti puoi danneggiare e peggiorare la condizione dell'articolazione.
Intervento chirurgico
È una misura estrema nel trattamento dell'osteoartrite se la malattia è estremamente trascurata e altri metodi di terapia sono impotenti. Il più delle volte, vengono utilizzati endopropostetici in cui la connessione interessata viene sostituita da un impianto.
Le protesi possono essere due tipi:
- completo: l'intera connessione viene sostituita
- In parte - viene sostituita solo la parte migliore dell'articolazione.
Le controindicazioni per le protesi sono:
- Infezioni purulente croniche;
- disturbi neuromuscolari;
- Patologie venose;
- Un certo numero di malattie cardiovascolari.
Un'altra opzione è l'osteotomia di correzione. Con questo metodo, una piastra viene inserita nella connessione, che riduce la pressione sull'area interessata del ginocchio.
Terapia di allenamento
È un'implementazione regolare e corretta di una serie di esercizi fisici che mirano a rafforzare l'articolazione e ripristinare la mobilità.
Questa procedura può essere eseguita indipendentemente a casa dopo aver contattato uno specialista per un consiglio.
prevenzione
Seguendo semplici regole impediscono il verificarsi o il peggioramento della distruzione della cartilagine. Per questo hanno bisogno:
- Segui la dieta. Ciò contribuirà al controllo del peso corporeo, fornisce al corpo tutte le vitamine e i minerali necessari.
- Attenersi a determinati sport e lasciare gli altri. Il fatto è che carichi eccessivi sulle ginocchia sono estremamente indesiderabili per la gonartrosi. Per questo motivo, correre e saltare può essere meglio sostituito dal ciclismo, dal nuoto o dall'aquaerobica.
- Eseguire regolarmente esercizi terapeutici.
- Indossare scarpe corrette comode e ortopediche. È inaccettabile indossare tunnel e tacchi alti, una suola piatta che preferisce le scarpe con un piccolo tallone.
L'osteoartrite dell'articolazione del ginocchio è una malattia abbastanza frequente che può rimanere inosservata per molto tempo. Nonostante l'inizio asintomatico, la gonartrosi può portare a gravi complicanze, che è disabilità. È quindi così importante eseguire la diagnosi in tempo utile e iniziare il trattamento necessario.


















































